Banner image placeholder
Banner image
Site avatar
aiHealth Lab
The Laboratory of Artificial Intelligence in Health


AI-Driven Advances in Breast Cancer Detection for Bangladesh


Image: MIT News

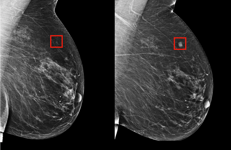
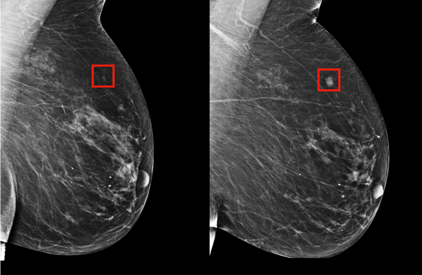
Clinical Problem

Breast cancer is the most commonly diagnosed cancer among women in Bangladesh, with a rising incidence and high mortality rate due to late detection. Limited healthcare infrastructure, scarcity of diagnostic facilities, and a lack of trained radiologists exacerbate the issue, particularly in rural and underserved areas. Many patients present with advanced-stage disease, reducing survival rates and increasing treatment costs. Early detection is critical to improving patient outcomes, but current systems struggle to deliver timely and accurate diagnoses.

Solution

Leveraging artificial intelligence (AI) offers a transformative solution to bridge the diagnostic gap in breast cancer detection. By developing a cost-effective, scalable AI-based diagnostic system, we can enable early detection of breast cancer using mammograms, ultrasound, and other imaging modalities. This system would be accessible in low-resource settings, ensuring equitable healthcare for women across Bangladesh. Additionally, integrating this solution with mobile health applications can further enhance accessibility in remote areas.

Approach

  1. Data Collection and Preprocessing
    • Collect anonymized breast imaging data, including mammograms and ultrasound images, from regional hospitals and clinics in Bangladesh.
    • Address data imbalance by augmenting datasets with synthetic imaging data using techniques such as generative adversarial networks (GANs).
    • Ensure compliance with ethical standards and patient confidentiality regulations.
  2. AI Model Development
    • Train deep learning models (e.g., convolutional neural networks) on the curated dataset to identify malignancies with high sensitivity and specificity.
    • Incorporate explainable AI (XAI) techniques to provide interpretable outputs for clinicians, highlighting regions of interest in diagnostic images.
  3. Integration and Deployment
    • Develop a cloud-based or edge-computing-enabled platform for AI-based breast cancer detection.
    • Implement the solution in healthcare facilities with minimal technological resources by providing low-cost hardware and mobile integration.
    • Collaborate with local health authorities to pilot the system in rural health clinics.
  4. Validation and Continuous Improvement
    • Conduct prospective validation studies to assess the system's diagnostic accuracy in real-world clinical settings.
    • Collect user feedback to iteratively refine the model and ensure it aligns with local clinical practices.
  5. Education and Outreach
    • Train healthcare providers and radiologists to effectively use the AI system.
    • Organize awareness campaigns to educate women about the importance of early screening and the availability of AI-driven diagnostic tools.

Expected Impact

By addressing the clinical problem with this AI-driven solution, the project aims to:
  • Improve early breast cancer detection rates in Bangladesh, particularly in underserved regions.
  • Reduce diagnostic workloads for healthcare professionals, enabling them to focus on treatment planning.
  • Contribute to reducing mortality rates and improving the quality of life for women diagnosed with breast cancer.
 
Share

Translate to